Etiqueta: Tania Blanco Cohene
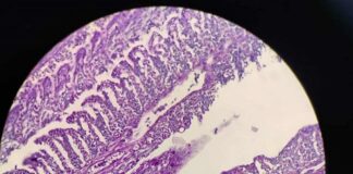
NUEVOS CONOCIMIENTOS Becaria estudia lesiones branquiales en peces usados como carnada...
Con apoyo de una beca de Estímulo a las Vocaciones Científicas, la estudiante de Ciencias Veterinarias de la UNNE, Rocío Belén Suárez examina las...

















